Early last week, I was asked introduce Dr. Jim Lock, Cardiologist in Chief at Boston Children’s Hospital, at a major event focused on raising money to support research and innovation for the hospital. I only had a brief window on Tuesday night to prepare remarks for Thursday’s event as I had to, you know, work like everyone else during the days. By the time we’re done with dinner for the kids, bathtime and bedtime, and prepping meds for the following day, it’s usually pretty late.
No motivator like pressure, right? Here are my remarks and the pics I used in the presentation.
***
The sound of a siren gives me goosebumps.
I’ve always been in awe of brave heroes on a truck, racing through the night to aid someone in crisis.
On September 18, 2011 my wife Erica and I went into our obstetrician’s office for our 18 week ultrasound with our first child.
We were excited to find out if it was a boy or a girl. We learned he was a boy, and that he had a special heart.
On that date, we learned about fetal critical aortic stenosis with evolving hypoplastic left heart. In other words, our son’s heart was under great stress, dying as we watched. His very survival was in question right from that moment. If he survived, in most cases, what his diagnosis meant is that he’d be born with half a heart, and a life of struggle.
Shock doesn’t even describe it. It was…surreal.
There’s a movie I love where a 40 year old battleship is about to be retired. It’s on its last tour around the world, about to become part of a naval museum. But somewhere far out at sea, the old lights turn red and an alarm rings out. “Action stations, action stations, set condition 1 throughout the ship! This is not a drill. Repeat, action stations action stations, set condition 1 throughout the ship! This is not a drill!”
It’s not a drill. An enemy is inbound. They intend to attack.
But the ship has no ammunition. They’re sitting ducks. All they can do is send out a distress call, hoping someone hears, puts the sirens on, and starts racing through the night to save them.
This was us in that OB’s office.
Close your eyes for a moment. Picture your children, a niece or nephew, grandchild, or perhaps a family friend’s kids in a happy moment.
I can see you all smiling. I can imagine there’s nothing you wouldn’t do for these little ones.
Now all of us here today, to some degree or another, are people of means. We can provide clothes and education and food, but when you hear fetal critical aortic stenosis with evolving hypoplastic left heart, with all our means and connections, we’re powerless….completely at the mercy of others
Fortunately, somewhere in the night there are heroes on a truck, sirens blazing, heading toward you at top speed in your hour of greatest need.
For my family, Jim Lock and his team at Boston Children’s didn’t turn on the siren, didn’t get on that truck on September 18, 2011.
They got on 13 years earlier.
You know, there’s a Wayne Gretzky quote that’s always stuck with me. He said, “I skate to where the puck is going to be, not where it has been.”
Near the center for families at Boston Children’s Hospital, there’s museum-like wall of innovation recounting many of Children’s medical firsts. One plaque reads “1999. Children’s opens its Advanced Fetal Care Center, which provides sophisticated prenatal services for pregnant women and treatment for fetuses with complex birth defects.”
We got to know the AFCC very well.
Yes, for my family, Drs. Lock, Tworetzky, Marshall, Emani and the rest of the team turned on the siren in 1999 and, little did we know, began racing at top speed towards my son Ari…towards where he was going to be.
And good thing, too, because they just barely made it! Ari is the very first person in the world to have 2 heart surgeries before he was born. Because of this innovation, we took Ari home at 4 weeks old with not with half a heart that he would have had at any other hospital in the world, but a whole one. Here he is at about 5 weeks old.
Soon thereafter, though, the alarm again rang out, and Dr. Lock and his team went to work, having anticipated years before where this puck might go.
Here was Ari pre-op before his first surgery.
And here he is just after.
Not my favorite picture. But I like this one. Here he is recovering two weeks later.
Ari’s since had scar tissue cut out his heart twice – something that until recently has only been available for old people like us. He’s had 3 of his 4 heart valves either moved or replaced. And even now, he doesn’t eat by mouth, but through a surgically implanted feeding tube.
Let me tell you about one of those valves, though. One day a few weeks after I took this picture, Ari fell off a cliff. It looked bad. He looked bad.
He needed more surgery, and fast. Doctors Ram Emani and Wayne Twrotezky came to talk to us about the options for mitral valve replacement for 18 week old babies. Wayne said, “Problem is medical device companies don’t make replacement mitral valves for kids his age. So if we put in one of the valves we’ve had to work with up until now, he’ll probably need open heart surgery in only months.”
Ram said, “We have a new option, though. We take an adult replacement valve in its smallest size, one that’s not built for the mitral position and not FDA indicated for this use. We turn it upside down and see if we can’t squeeze it in because it’s a big valve. If we can fit it, the benefit is it’s expandable by balloon in the cath lab, so not only should it be a fine valve, we just might save him an open heart surgery or three.”
So we asked, “Okay, this is experimental. How many times have you done it before?”
“4” he says. We asked, how many times has it ever been done before?
“4” he says.
“How have they been going?” we asked. He said, “Well, I get better every time.”
We went for it. It fit. Here’s how Ari looked in the days following the surgery.
Here’s my boy.
My only son.
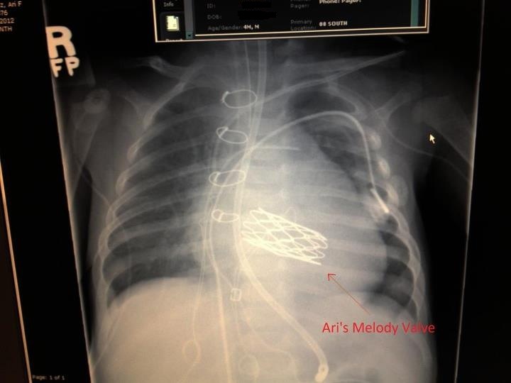
And here’s his chest x-ray.
The big honeycomb thing in the middle is that valve. Check out that bad boy.
It was touch and go for a while, but Ari turned the corner and got better and we went home and had a grand old time for a bit. Ready…?
6 months post surgery, Ari starts breathing faster and faster. His new mitral valve is, indeed, now too small for him, choking off his blood supply. Chocking off his air.
Since we have that innovative expandable valve, as Dr. Emani predicted, we go in for a cath procedure instead of an open heart surgery. We have the cath on a Monday. By Saturday, instead of looking like this:
He looked like this:
Yep, cath on Monday. Swim class on Saturday.
Thank god for Jim Lock and the Boston Children’s Hospital team, racing through the night not to where puck has been, but to where it’s going.
We couldn’t have ever known it, but they were the ONLY cardiac team racing towards Ari. No other hospital in the world would have been prepared to do what Boston Children’s did.
Now, you might be thinking, “This kid’s gotta be pretty screwed up.” Well, here is what Ari is like now:
One more time before we welcome Dr. Lock to speak, I want you to close your eyes. For a moment, listen to the silence.
Now hear the siren coming on in the night. It’s a fire truck. You can see the lights flashing as it approaches. It’s just about to fly past you, racing towards a family in crisis.
As it races by you can see the driver. But wait. It’s not Dr. Lock. He’s there, but he’s holding on on back, ready to jump off the truck and run into the burning house to rescue the kids as he does every day. But he can’t get there unless…
…he can’t get there unless you take him.
Dr. Lock is a hero in this room, but he’s not the only one. It’s you. You hold my son’s life, and the lives of so many children in your hands; you have the choice to do so – and so, from this simple parent who found themselves in need of heroes when alarms went off, I thank you for your generosity.
Now, please join me in welcoming Cardiologist in Chief at Boston Children’s Hospital Dr. Jim Lock.
***
Dr. Lock went on to talk about who pays for innovation in medicine. The hospitals, the doctors, and donors. That’s it. (And it’s the donors who give to the hospitals.)
We all have the choice to put on the siren and drive the fire truck. We can do it any time we want. (Like right now!) If you choose to do so, please consider giving to the Children’s Hospital Trust. You can give here online.
If you’d like, you can designate your gift in honor of Ari, and you can designate your gift to the department of cardiology as well.













Hi Mike
Thank you so much for sharing this very amazing and inspirational post as well as your precious, amazing and inspirational son Ari with all of us.
he is my hero.
Kathie
Beautiful.
Thank you for your inspiration. There are so many miracles every second, every minute, every hour of the day…all over this beautiful planet. This miracle, called Ari, is one to treasure and joyfully embrace in all our hearts. Each miracle in itself is precious. This miracle is beyond precious in that it is told to us all in such a loving and devotional way. Namaste
Hi Mike,
A wonderful post!
Here’s hoping we get to see you guys sometime around the Holidays!
Best to you, Erica, Ari and Lexi!
Margot
Dr. Jim Lock is our families’ hero as well! He has saved our son not once but twice!
Tears of joy taking the photo trip down memory lane. I suspect there was not a dry eye in the house. I thank God for the gift of words He has given you to speak on behalf of all parents of heart children.
I know this story, and I still am in awe of the entire thing. Ari’s strength and light, you and Erica and your sturdiness and resiliency, your bravery in welcoming a new little love into your family…wow. And brilliant job weaving in Gretsky’s quote! Part of me hopes one day to warrant such an introduction, and the other part hopes that one day, no Dr needs such a lead-in…all these children’s medical challenges having been met and conquered. xoxo
Awesome speech!!! I was just thinking, how come I never get invited to speak or do special events? Oh yeah, cuz I couldn’t rock it like you can!!! Amazing speech, seriously. Thanks for speaking on behalf of all of our heart babies. Great job!!
OMG…Mike, I’m in tears…happy tears for Ari, John, and all the other heart babies who are alive because of the heroes at Boston Children’s Hospital!!!! What a powerful message!!!!!
That’s some speech, Mike. I know you see it the other way around, but Children’s is lucky to have you on board.